Популярное

Музыка Кино и Анимация Автомобили Животные Спорт Путешествия Игры Юмор

Интересные видео

2025 Сериалы Трейлеры Новости Как сделать Видеоуроки Diy своими руками

Топ запросов

смотреть а4 schoolboy runaway турецкий сериал смотреть мультфильмы эдисон
dTub
Скачать

ReproScan Ultrasound Training - Separating A.I. Pregnancies from Bull Breds

Автор: ReproScanCows

Загружено: 2020-01-28

Просмотров: 13233

Описание:

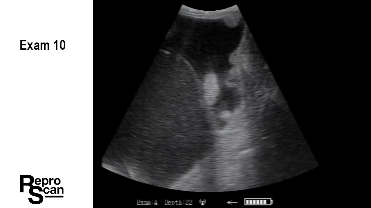
This video gives people tips on how and when to ultrasound cattle so they can separate A.I. bred cattle from bull bred cattle. The images in the video were collected using a ReproScan XTC with an extension arm.

ReproScan Ultrasound Training - Separating A.I. Pregnancies from Bull Breds

Поделиться в:

Доступные форматы для скачивания:

Скачать видео mp4

  • Информация по загрузке:

Скачать аудио mp3

Похожие видео

Коровы второго триместра

Коровы второго триместра

Applying ropes for casting a cow: Rueff's method using a model cow

Applying ropes for casting a cow: Rueff's method using a model cow

Ultrasound Quiz - Pregnant or Open? (answers)

Ultrasound Quiz - Pregnant or Open? (answers)

Repro-Scan Images 0 to 115 days 11132011

Repro-Scan Images 0 to 115 days 11132011

Diagnosing Open or Empty with a ReproScan Convex Probe Ultrasound

Diagnosing Open or Empty with a ReproScan Convex Probe Ultrasound

Как провести быстрое УЗИ брюшной полости кошки. Доктор Сорен Бойсен демонстрирует использование у...

Как провести быстрое УЗИ брюшной полости кошки. Доктор Сорен Бойсен демонстрирует использование у...

How to palpate beef cattle for pregnancy diagnosis

How to palpate beef cattle for pregnancy diagnosis

Fetal Age Determination using ReproScan XTC with 4.0 MHz Convex Rectal Probe

Fetal Age Determination using ReproScan XTC with 4.0 MHz Convex Rectal Probe

How to spot respiratory acidosis in a newborn calf

How to spot respiratory acidosis in a newborn calf

Ultrasound Quiz - Pregnant or Open? (questions)

Ultrasound Quiz - Pregnant or Open? (questions)

How to Perform FAST Ultrasound of Dog Thorax | Dr Soren Boysen Demonstrates Using Clarius Ultrasound

How to Perform FAST Ultrasound of Dog Thorax | Dr Soren Boysen Demonstrates Using Clarius Ultrasound

Beef Calving Difficulty - Dr. Richard Randle

Beef Calving Difficulty - Dr. Richard Randle

Технология BCF. Ультразвуковое исследование репродуктивного тракта крупного рогатого скота. Видео...

Технология BCF. Ультразвуковое исследование репродуктивного тракта крупного рогатого скота. Видео...

Технология BCF. Ультразвуковое исследование репродуктивного тракта крупного рогатого скота. Видео...

Технология BCF. Ультразвуковое исследование репродуктивного тракта крупного рогатого скота. Видео...

Veterinary Ultrasound Training - Scanning the Liver

Veterinary Ultrasound Training - Scanning the Liver

فحص سونار الماعز يوضح اجزاء الجنين كاملة و حالة حمل كاذب في الماعز 🐐🐐

فحص سونار الماعز يوضح اجزاء الجنين كاملة و حالة حمل كاذب في الماعز 🐐🐐

Second Trimester Heifers 17 Exams

Second Trimester Heifers 17 Exams

Introduction to Bovine Fetal Gender Determination

Introduction to Bovine Fetal Gender Determination

Diagnosing the Open (Empty) Uterus in a Cow

Diagnosing the Open (Empty) Uterus in a Cow

The next generation of scanning farm animals

The next generation of scanning farm animals

© 2025 dtub. Все права защищены.



  • Контакты
  • О нас
  • Политика конфиденциальности



Контакты для правообладателей: infodtube@gmail.com