Популярное

Музыка Кино и Анимация Автомобили Животные Спорт Путешествия Игры Юмор

Интересные видео

2025 Сериалы Трейлеры Новости Как сделать Видеоуроки Diy своими руками

Топ запросов

смотреть а4 schoolboy runaway турецкий сериал смотреть мультфильмы эдисон
dTub
Скачать

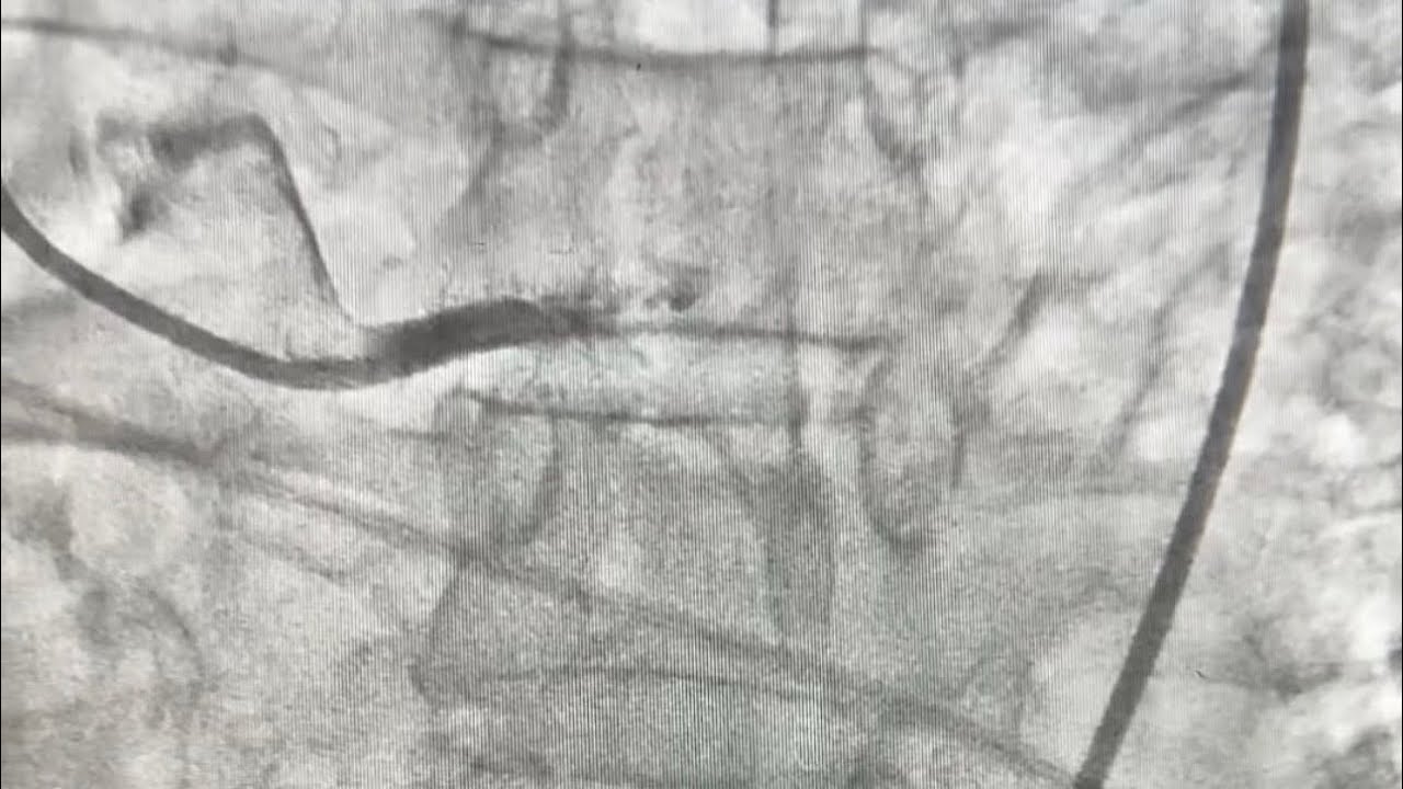
Antegrade dissection and re-entry: step-by-step

Автор: Manos Brilakis

Загружено: 2018-03-20

Просмотров: 40208

Описание:

Step-by-step description of antegrade dissection/re-entry techniques for coronary CTO interventions.

Antegrade dissection and re-entry: step-by-step

Поделиться в:

Доступные форматы для скачивания:

Скачать видео mp4

  • Информация по загрузке:

Скачать аудио mp3

Похожие видео

8.4.  CTO crossing algorithms - Manual of CTO PCI

8.4. CTO crossing algorithms - Manual of CTO PCI

Spiral Dissection of the RCA caught on Cine

Spiral Dissection of the RCA caught on Cine

15.1 Aorto-ostial lesions - Manual of PCI

15.1 Aorto-ostial lesions - Manual of PCI

Обширный инфаркт миокарда с подъемом сегмента ST. 100% окклюзия левой главной коронарной артерии/...

Обширный инфаркт миокарда с подъемом сегмента ST. 100% окклюзия левой главной коронарной артерии/...

5 операций, которые я, как врач, НИКОГДА бы не сделал! / Вы ПОЖАЛЕЕТЕ об ЭТИХ операциях!

5 операций, которые я, как врач, НИКОГДА бы не сделал! / Вы ПОЖАЛЕЕТЕ об ЭТИХ операциях!

ВСУЗИ: выявление расслоения и интрамуральной гематомы

ВСУЗИ: выявление расслоения и интрамуральной гематомы

Чрескожная коронарная интервенция (ЧКИ) левой главной коронарной артерии (ЛГКА) высокого риска: в...

Чрескожная коронарная интервенция (ЧКИ) левой главной коронарной артерии (ЛГКА) высокого риска: в...

Guide dissection: cases and management

Guide dissection: cases and management

Как очистить сосуды от бляшек и тромбов за 5 простых шагов

Как очистить сосуды от бляшек и тромбов за 5 простых шагов

Video 8.2.7: Manual of CTO PCI - When and how to do “BASE” and “scratch and go”

Video 8.2.7: Manual of CTO PCI - When and how to do “BASE” and “scratch and go”

8.3.1: Manual of CTO PCI - Retrograde approach overview

8.3.1: Manual of CTO PCI - Retrograde approach overview

Пожилой пациент со 100%-ным разрывом ПМЖВ с помощью ИВЛ и ЧКВ: шаг за шагом, потрясающие результаты!

Пожилой пациент со 100%-ным разрывом ПМЖВ с помощью ИВЛ и ЧКВ: шаг за шагом, потрясающие результаты!

Ostial side branch stenting (esp. ostial diagonal): algorithms and cases -Elias Hanna

Ostial side branch stenting (esp. ostial diagonal): algorithms and cases -Elias Hanna

Coronary dissections: cases, types, treatment tips

Coronary dissections: cases, types, treatment tips

Методы ЧКВ для сильно изогнутых сосудов

Методы ЧКВ для сильно изогнутых сосудов

Есть ли жизнь после СТЕНТА | узнай сколько тебе осталось #всеососудах

Есть ли жизнь после СТЕНТА | узнай сколько тебе осталось #всеососудах

16.1 Bifurcation PCI step-by-step  - Manual of PCI

16.1 Bifurcation PCI step-by-step - Manual of PCI

My Worst PCI Complications of the Past Year

My Worst PCI Complications of the Past Year

Bifurcations - DK Crush Technique -Step by step

Bifurcations - DK Crush Technique -Step by step

Coronary catheter techniques 1: focus on transradial approach- Elias Hanna, Univ Iowa

Coronary catheter techniques 1: focus on transradial approach- Elias Hanna, Univ Iowa

© 2025 dtub. Все права защищены.



  • Контакты
  • О нас
  • Политика конфиденциальности



Контакты для правообладателей: infodtube@gmail.com