Популярное

Музыка Кино и Анимация Автомобили Животные Спорт Путешествия Игры Юмор

Интересные видео

2025 Сериалы Трейлеры Новости Как сделать Видеоуроки Diy своими руками

Топ запросов

смотреть а4 schoolboy runaway турецкий сериал смотреть мультфильмы эдисон
dTub
Скачать

Managing missing teeth and failing dentitions | Ken – Study Club Live Finlay Sutton

Автор: Finlay Sutton

Загружено: 2026-01-15

Просмотров: 373

Описание:

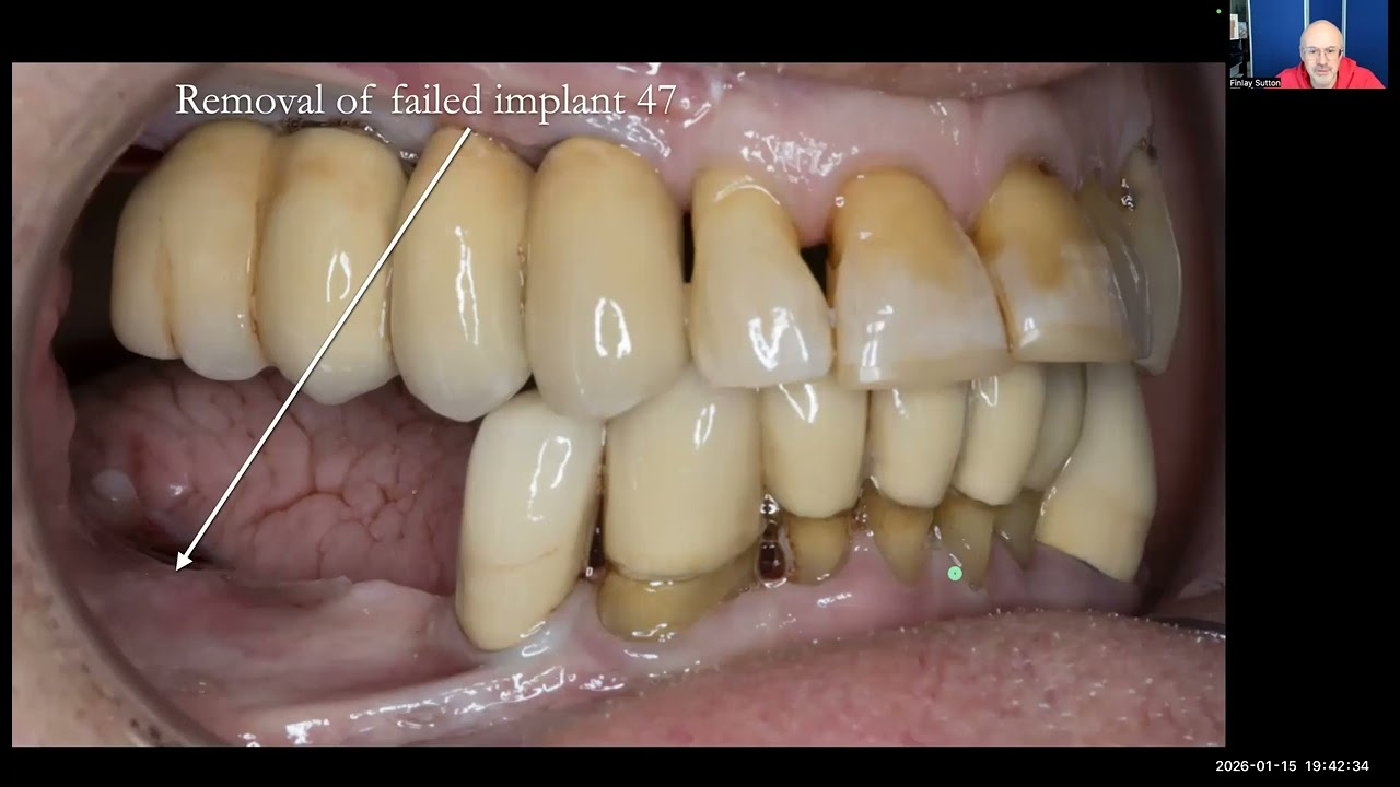
This is the full recording of a Study Club Live session focused on Ken’s case, followed over almost 11 years.
Ken was first seen at the age of 80 with failing implants and an uncertain dental prognosis. His care was managed using Scandinavian-style, metal-based removable partial dentures, designed to prioritise function, longevity, and adaptability, rather than aesthetics.
In this session, I cover:
managing missing teeth and failing dentitions
when and why metal-based RPDs are appropriate
long-term use of relines and additions
honest discussion of clinical difficulties, including impression challenges
what worked well, and what I would now do differently
the concept of “going downhill, first class”
This is a detailed, real-world case, shared for those who value understanding the why, not just the what.
📑 All slides from this session can be viewed here:
https://www.finlaysutton.co.uk/case-s...
This session also marks the final Study Club Live for a while, as I step back from free online teaching to finish the book
Removable Partial Dentures – A Scandinavian inspired guide (with John Besford).
Shared for educational purposes.

Managing missing teeth and failing dentitions | Ken – Study Club Live Finlay Sutton

Поделиться в:

Доступные форматы для скачивания:

Скачать видео mp4

  • Информация по загрузке:

Скачать аудио mp3

Похожие видео

Д-р Финли Саттон – Немедленный полный верхний съемный протез: от удаления до окончательной подгон...

Д-р Финли Саттон – Немедленный полный верхний съемный протез: от удаления до окончательной подгон...

Study Club 12 Телескопический съемный протез и прецизионный фиксатор верхней челюсти для Джеки

Study Club 12 Телескопический съемный протез и прецизионный фиксатор верхней челюсти для Джеки

Рассылка 82 Мэри - Финли Саттон - Полный верхний съемный протез и прокладка для протеза, готическ...

Рассылка 82 Мэри - Финли Саттон - Полный верхний съемный протез и прокладка для протеза, готическ...

Chamfer Preparation Technique

Chamfer Preparation Technique

Paul’s Case: Chairside Locator Fitting & Milling-in Paste for Perfect Denture Bite – Study Club Live

Paul’s Case: Chairside Locator Fitting & Milling-in Paste for Perfect Denture Bite – Study Club Live

Radiographic and Surgical Implant Templates for the Completely Edentulous: Fabrication Technique

Radiographic and Surgical Implant Templates for the Completely Edentulous: Fabrication Technique

🔹 Step-by-Step Veneer Preparation & Cementation! 🔹 Part One

🔹 Step-by-Step Veneer Preparation & Cementation! 🔹 Part One

2. Implants: Mandibular Overdenture Locator Pick-up

2. Implants: Mandibular Overdenture Locator Pick-up

Задача из вступительных Стэнфорда

Задача из вступительных Стэнфорда

Кому нельзя ставить импланты? Стоматологи молчат об этом

Кому нельзя ставить импланты? Стоматологи молчат об этом

CDJ: 6) Изготовление окклюзионной кромки и основания пластинки

CDJ: 6) Изготовление окклюзионной кромки и основания пластинки

Step-by-Step All-on-4 Impression Techinique #allonX #allon4 #allon6 #fullmouth #zygomaticimplants

Step-by-Step All-on-4 Impression Techinique #allonX #allon4 #allon6 #fullmouth #zygomaticimplants

Finlay Sutton Complete Denture Case – Patient Who Never Wore a Lower Denture Before Study Club

Finlay Sutton Complete Denture Case – Patient Who Never Wore a Lower Denture Before Study Club

Temporary Fabrication

Temporary Fabrication

Dr VK's Dental Skool | MAXILLARY MOLAR | TOOTH PREPARATION | ALL METAL AND MONOLITHIC ZIRCONIA

Dr VK's Dental Skool | MAXILLARY MOLAR | TOOTH PREPARATION | ALL METAL AND MONOLITHIC ZIRCONIA

Teeth Arrangement : Maxillary Posterior s | Stepwise demo to clear all doubts.

Teeth Arrangement : Maxillary Posterior s | Stepwise demo to clear all doubts.

Acron Dentures  - Step by step manual by ROKO

Acron Dentures - Step by step manual by ROKO

ИЖ Планета 5 vs ИЖ Юпитер 5! Что всё таки лучше?!

ИЖ Планета 5 vs ИЖ Юпитер 5! Что всё таки лучше?!

Подлые стоматологи! Реальная СХЕМА развода, о которой молчат! Дикие ПОСЛЕДСТВИЯ ошибок ИМПЛАНТАЦИИ!

Подлые стоматологи! Реальная СХЕМА развода, о которой молчат! Дикие ПОСЛЕДСТВИЯ ошибок ИМПЛАНТАЦИИ!

Моез Хакиани — Препарирование коронок моляров с помощью PFM

Моез Хакиани — Препарирование коронок моляров с помощью PFM

© 2025 dtub. Все права защищены.



  • Контакты
  • О нас
  • Политика конфиденциальности



Контакты для правообладателей: infodtube@gmail.com