Популярное

Музыка Кино и Анимация Автомобили Животные Спорт Путешествия Игры Юмор

Интересные видео

2025 Сериалы Трейлеры Новости Как сделать Видеоуроки Diy своими руками

Топ запросов

смотреть а4 schoolboy runaway турецкий сериал смотреть мультфильмы эдисон
dTub
Скачать

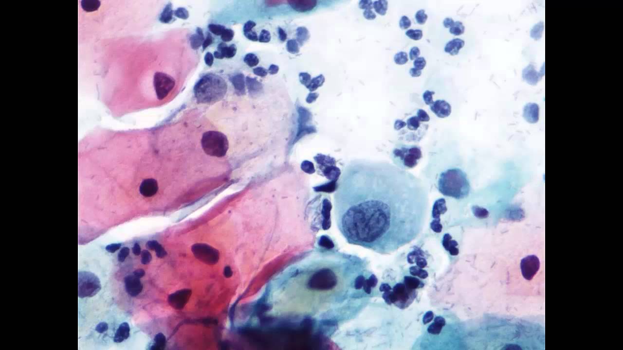
ASC-H (Atipia celular escamosa que no descarta un lesión de alto grado). Hablemos de mi citología.

Автор: Citología Ciencia y Arte

Загружено: 2024-05-27

Просмотров: 2866

Описание:

Sección donde Elizabeth García Citotecnóloga y Bioanalista del diagnostico de ASC-H Atipia celular escamosa que no descarta un lesión de alto grado.

Si deseas compartir tu diagnóstico o experiencia puedes escribir al correo citologiacienciayarte@gmail.com recuerda que siempre se mantendrá el anonimato, este es un espacio seguro para aclarar dudas y compartir experiencias y vivencias entorno al diagnóstico citológico, permitiéndote entender que sucede en tu cuerpo. Recuerda que siempre debes acudir a consulta con tu médico tratante para tus tratamientos.

LINKS de interes
Atipias glandulares    • Atipias glandulares en el PAP o citología....  
ASCUS    • ¿Qué es ASCUS? ¿Por qué no hacerse lavados...  
Hormonas    • Ciclo menstrual. Atrofia. Acción estrogéni...  
Lesiones escamosas    • Lesiones escamosas de bajo y alto grado. H...  

ASC-H (Atipia celular escamosa que no descarta un lesión de alto grado). Hablemos de mi citología.

Поделиться в:

Доступные форматы для скачивания:

Скачать видео mp4

  • Информация по загрузке:

Скачать аудио mp3

Похожие видео

ASC-US vs ASC-H

ASC-US vs ASC-H

¿Qué es ASCUS? ¿Por qué no hacerse lavados vaginales? Hablemos de mi citología.

¿Qué es ASCUS? ¿Por qué no hacerse lavados vaginales? Hablemos de mi citología.

Lesiones escamosas de bajo y alto grado. Hablemos de mi citología.

Lesiones escamosas de bajo y alto grado. Hablemos de mi citología.

Impacto psicológico del diagnóstico del VPH

Impacto psicológico del diagnóstico del VPH

6  Citología de las Lesiones intraepiteliales escamosas del cuello uterino (LSIL; HSIL).

6 Citología de las Lesiones intraepiteliales escamosas del cuello uterino (LSIL; HSIL).

ASC-H células escamosas atípicas de significado indeterminado não podendo excluir lesão de alto grau

ASC-H células escamosas atípicas de significado indeterminado não podendo excluir lesão de alto grau

LESION ESCAMOSA INTRAEPITELIAL DE ALTO GRADO

LESION ESCAMOSA INTRAEPITELIAL DE ALTO GRADO

Diferencias entre ASC-H y HSIL. Citología cervicovaginal

Diferencias entre ASC-H y HSIL. Citología cervicovaginal

Colposcopia-Biopsia; indicaciones e importancia

Colposcopia-Biopsia; indicaciones e importancia

¿Qué son las Lesiones Intraepiteliales de bajo y alto grado?

¿Qué son las Lesiones Intraepiteliales de bajo y alto grado?

5.  Atipia de células escamosas (citología de cribado de cáncer de cuello uterino)

5. Atipia de células escamosas (citología de cribado de cáncer de cuello uterino)

Вылечи эту мышцу в шее. Четкое зрение, ясная голова, пройдет боль, хороший кровоток к мозгу.

Вылечи эту мышцу в шее. Четкое зрение, ясная голова, пройдет боль, хороший кровоток к мозгу.

ASCUS VS LSIL. LESIONES DE BAJO GRADOI EN CUELLO UTERINO Y ATIPIAS INESPECIFICAS.

ASCUS VS LSIL. LESIONES DE BAJO GRADOI EN CUELLO UTERINO Y ATIPIAS INESPECIFICAS.

¿El ácido fólico elimina el VPH?

¿El ácido fólico elimina el VPH?

¡Atención mujeres! Experto explica qué hacer si el Papanicolau sale alterado

¡Atención mujeres! Experto explica qué hacer si el Papanicolau sale alterado

CITOLOGÍA ALTERADA I: VPH POSITIVO, ASC-US, L-SIL, H-SIL... - Ginecología y Obstetricia -

CITOLOGÍA ALTERADA I: VPH POSITIVO, ASC-US, L-SIL, H-SIL... - Ginecología y Obstetricia -

Interpretación de un Papanicolaou  (citologia cervico vaginal)

Interpretación de un Papanicolaou (citologia cervico vaginal)

ANOMALIAS DE CELULAS EPITELIALES Y ESCAMOSAS

ANOMALIAS DE CELULAS EPITELIALES Y ESCAMOSAS

¿Qué tengo que saber sobre los resultados del papanicolau?

¿Qué tengo que saber sobre los resultados del papanicolau?

A Day In The Life Right Now | Life With Brain Cancer

A Day In The Life Right Now | Life With Brain Cancer

© 2025 dtub. Все права защищены.



  • Контакты
  • О нас
  • Политика конфиденциальности



Контакты для правообладателей: infodtube@gmail.com