Популярное

Музыка Кино и Анимация Автомобили Животные Спорт Путешествия Игры Юмор

Интересные видео

2025 Сериалы Трейлеры Новости Как сделать Видеоуроки Diy своими руками

Топ запросов

смотреть а4 schoolboy runaway турецкий сериал смотреть мультфильмы эдисон
dTub
Скачать

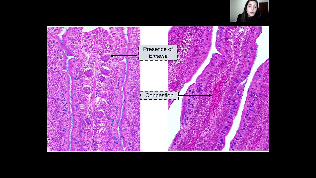
Day 4 PM Sessions Understanding and Combating Mycotoxins for Sustainable Poultry Production

Автор: Poultry Science Association

Загружено: 2025-07-01

Просмотров: 88

Описание:

Day 4   PM Sessions   Understanding and Combating Mycotoxins for Sustainable Poultry Production

Поделиться в:

Доступные форматы для скачивания:

Скачать видео mp4

  • Информация по загрузке:

Скачать аудио mp3

Похожие видео

Day 4   PM Sessions   The Different Stages of Mycotoxin Management

Day 4 PM Sessions The Different Stages of Mycotoxin Management

Day 4   PM Sessions   Mycotoxins as an Antinutritional Factor

Day 4 PM Sessions Mycotoxins as an Antinutritional Factor

Disease Challenges in Poultry Production : Role of Vaccines, Vaccination and Pathogen

Disease Challenges in Poultry Production : Role of Vaccines, Vaccination and Pathogen

Effect of diet supplementation of essential oil and organic acid alone or combination in broiler

Effect of diet supplementation of essential oil and organic acid alone or combination in broiler

Этажи брюшной полости. Ход брюшины.

Этажи брюшной полости. Ход брюшины.

Day 1   AM Sessions   Global Challenges In Poultry Nutrition

Day 1 AM Sessions Global Challenges In Poultry Nutrition

Самая красивая девушка в сборной? 22-летняя чемпионка мира по боксу

Самая красивая девушка в сборной? 22-летняя чемпионка мира по боксу

Conversation with Elon Musk | World Economic Forum Annual Meeting 2026

Conversation with Elon Musk | World Economic Forum Annual Meeting 2026

Day 3   PM Sessions   Immune Response to Coccidiosis in Poultry

Day 3 PM Sessions Immune Response to Coccidiosis in Poultry

Day 4   PM Sessions   From Lab to Page   The Art of Scholarly Storytelling

Day 4 PM Sessions From Lab to Page The Art of Scholarly Storytelling

FULL EVENT: Elon Musk Takes Questions In Shock Appearance At The World Economic Forum In Davos

FULL EVENT: Elon Musk Takes Questions In Shock Appearance At The World Economic Forum In Davos

Пальмы в степи! Шымкентские бананы создали ажиотаж в России и Казахстане

Пальмы в степи! Шымкентские бананы создали ажиотаж в России и Казахстане

Day 4   AM Sessions   Practical Applications of Arginine Functionality to Support Broiler Health and

Day 4 AM Sessions Practical Applications of Arginine Functionality to Support Broiler Health and

New Poultry Vaccine Tech: Leadership for Advanced Responses to Animal Diseases

New Poultry Vaccine Tech: Leadership for Advanced Responses to Animal Diseases

Ходорковский:

Ходорковский: "В ближайшие 10 лет Запад будет в состоянии войны с Россией, надеюсь, холодной"

Day 4   AM Sessions   Reduced Crude Protein Diets

Day 4 AM Sessions Reduced Crude Protein Diets

Почему зарядка после 60 ускоряет потерю мышц? Парадокс сардинских долгожителей | ЗДОРОВЬЕ ДАРОМ

Почему зарядка после 60 ускоряет потерю мышц? Парадокс сардинских долгожителей | ЗДОРОВЬЕ ДАРОМ

Day 4   PM Sessions   A Scientist's Guide to Outstanding Manuscripts

Day 4 PM Sessions A Scientist's Guide to Outstanding Manuscripts

BREAKING NEWS: Elon Musk Holds Surprise Talk At The World Economic Forum In Davos

BREAKING NEWS: Elon Musk Holds Surprise Talk At The World Economic Forum In Davos

Lachance Nutrition || Understanding Mycotoxin In poultry diet

Lachance Nutrition || Understanding Mycotoxin In poultry diet

© 2025 dtub. Все права защищены.



  • Контакты
  • О нас
  • Политика конфиденциальности



Контакты для правообладателей: infodtube@gmail.com