Популярное

Музыка Кино и Анимация Автомобили Животные Спорт Путешествия Игры Юмор

Интересные видео

2025 Сериалы Трейлеры Новости Как сделать Видеоуроки Diy своими руками

Топ запросов

смотреть а4 schoolboy runaway турецкий сериал смотреть мультфильмы эдисон
dTub
Скачать

Почему болит живот? Часть 2 Пояснительная.

Автор: Ультразвуковая диагностика с Натальей Карауловой

Загружено: 2026-01-18

Просмотров: 60

Описание:

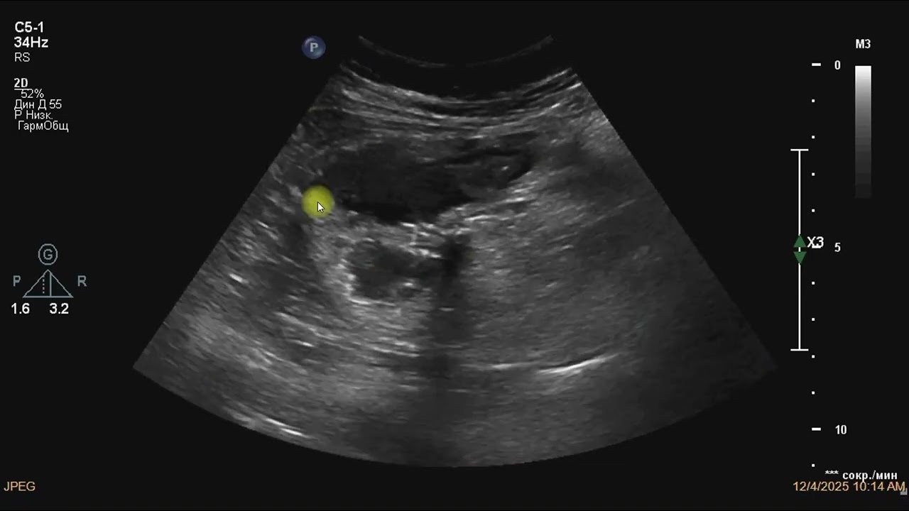
В правой подвздошной области, в проекции илеоцекального перехода, определяется стенозирующее опухолевое образование, вовлекающее купол слепой кишки, баугиниеву заслонку и терминальный отдел подвздошной кишки.
Купол слепой кишки: стенка с локальным нарушением слоистой дифференцировки, неравномерно утолщеная до 8–10 мм.
Баугиниева заслонка: не дифференцируется.
Терминальный отдел подвздошной кишки: стенка циркулярно утолщена до 8 мм, протяжённость поражения до 20 мм. В зоне поражения стенка гипоэхогенная, слоистость утрачена. Кровоток нерегулярный.
При компрессии датчиком область безболезненна, участок малосжимаем.
Просвет кишки в зоне илеоцекального перехода резко сужен до 1–2 мм. Определяется престенотическое расширение подвздошной кишки до 35 мм с усилением перистальтики.
Параколическая клетчатка в зоне поражения инфильтрирована, повышенной эхогенности.
Наружные контуры слепой и подвздошной кишки в области поражения неровные, размытые - признаки опухолевой инфильтрации.
⠀
Паракавально визуализируются увеличенные лимфатические узлы до 20 мм, округлой формы, с периферическим кровотоком.
По ходу гепатодуоденальной связки — несколько гипоэхогенных округлых лимфоузлов до 15 мм, аваскулярных.
⠀
В паренхиме печени определяются множественные гипоэхогенные очаговые образования размерами 10–23 мм, с перинодулярной васкуляризацией при ангиосканировании.
⠀
✅ ЗАКЛЮЧЕНИЕ
Эхографическая картина стенозирующей опухоли илеоцекального перехода с вовлечением купола слепой кишки, баугиниевой заслонки и терминального отдела подвздошной кишки и формированием частичной кишечной непроходимости.
Признаки местного опухолевого распространения.
Забрюшинная и гепатодуоденальная лимфоаденопатия (mts)
Вторичное очаговое поражения печени (mts).
⠀
Хотите также разбираться в УЗ картине поражения полых органов и формулировать такие заключения?
⠀
Ждем вас на курсе Кирилловой Кирилловой Маргариты Сергеевны "УЗ диагностика патологии полых органов у взрослых" я буду проверять ваши практические задания.
⠀
Начало потока 20.01.2026 ссылка 🔗 https://sonostep.ru/kurs/uzi_polih_or...

Почему болит живот? Часть 2 Пояснительная.

Поделиться в:

Доступные форматы для скачивания:

Скачать видео mp4

  • Информация по загрузке:

Скачать аудио mp3

Похожие видео

Почему болит живот. Часть 1

Почему болит живот. Часть 1

PRZYMUS WIARY. Co groziło w Polsce za nieobecność na niedzielnej mszy świętej?

PRZYMUS WIARY. Co groziło w Polsce za nieobecność na niedzielnej mszy świętej?

Konfederacja gra na czas. Dlaczego wstrzymuje aktywność? | Salonik polityczny Ziemkiewicza 3/3

Konfederacja gra na czas. Dlaczego wstrzymuje aktywność? | Salonik polityczny Ziemkiewicza 3/3

POGOŃ SZCZECIN - FK JABLONEC NA ŻYWO: TRANSMISJA, MECZ + IRL

POGOŃ SZCZECIN - FK JABLONEC NA ŻYWO: TRANSMISJA, MECZ + IRL

PROTEST TYSIĘCY GRENLANDCZYKÓW. KANAŁ ZERO NA MANIFESTACJI W NUUK

PROTEST TYSIĘCY GRENLANDCZYKÓW. KANAŁ ZERO NA MANIFESTACJI W NUUK

Stop Cham #1404 - Niebezpieczne i chamskie sytuacje na drogach

Stop Cham #1404 - Niebezpieczne i chamskie sytuacje na drogach

ESTEM KRÓLEM ŻYCIA? 15 000 zł z hektara?!

ESTEM KRÓLEM ŻYCIA? 15 000 zł z hektara?!

Wiadomości Poranne | 18.01.2026

Wiadomości Poranne | 18.01.2026

SPARING | POGOŃ SZCZECIN - FK JABLONEC

SPARING | POGOŃ SZCZECIN - FK JABLONEC

Samodzielne rządy albo nic. Kaczyński wciąż gra o 40 procent | Salonik polityczny Ziemkiewicza 2/3

Samodzielne rządy albo nic. Kaczyński wciąż gra o 40 procent | Salonik polityczny Ziemkiewicza 2/3

Как все устроено в курсе «Ультразвуковая диагностика желчнокаменной болезни и ее осложнений»

Как все устроено в курсе «Ультразвуковая диагностика желчнокаменной болезни и ее осложнений»

Ostatnie chwile szczęścia. Zaginęła Akira

Ostatnie chwile szczęścia. Zaginęła Akira

SPRAWDZAM KAMERĘ PRZED MOIM DOMEM o 3:00 w NOCY na Wojanowicach!

SPRAWDZAM KAMERĘ PRZED MOIM DOMEM o 3:00 w NOCY na Wojanowicach!

Rozliczenia bez finału. Sprawa Ziobry zaczyna ciążyć władzy | Salonik polityczny Ziemkiewicza 1/3

Rozliczenia bez finału. Sprawa Ziobry zaczyna ciążyć władzy | Salonik polityczny Ziemkiewicza 1/3

Что в желчном?

Что в желчном?

Ответ на задачу

Ответ на задачу

Parafia Ducha Świętego w Mielcu - transmisja na żywo

Parafia Ducha Świętego w Mielcu - transmisja na żywo

Ziobro zwiał do Orbana. Kaczyński atakuje Brauna. Hołownia chce wykończyć swych wrogów w Polsce 2050

Ziobro zwiał do Orbana. Kaczyński atakuje Brauna. Hołownia chce wykończyć swych wrogów w Polsce 2050

7. Dzień Tygodnia w Radiu ZET | Zaprasza Andrzej Stankiewicz

7. Dzień Tygodnia w Radiu ZET | Zaprasza Andrzej Stankiewicz

© 2025 dtub. Все права защищены.



  • Контакты
  • О нас
  • Политика конфиденциальности



Контакты для правообладателей: infodtube@gmail.com