Популярное

Музыка Кино и Анимация Автомобили Животные Спорт Путешествия Игры Юмор

Интересные видео

2025 Сериалы Трейлеры Новости Как сделать Видеоуроки Diy своими руками

Топ запросов

смотреть а4 schoolboy runaway турецкий сериал смотреть мультфильмы эдисон
dTub
Скачать

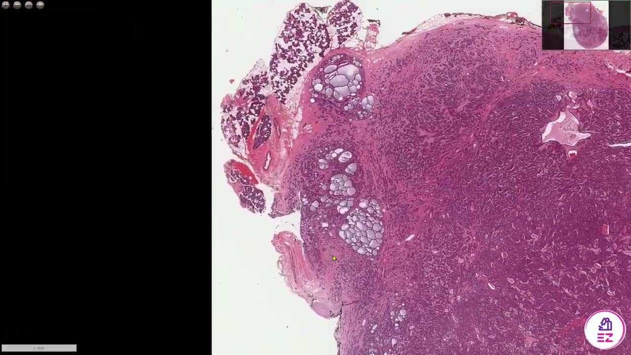
Digital Surgical Pathology 393 Vulva- Skin adenoid cystic carcinoma

Автор: Lewis Hassell

Загружено: 2020-05-22

Просмотров: 902

Описание:

Adenoid cystic carcinoma presenting in the vulva, differential diagnosis discussed with several considerations and examples. Gynecologic Pathology, #DAPA, #DPA, #OUPath #Pathresidents

Examine the digital slides from this presentation here: https://dpa-dapa.com/#/public/present...

Please share this with others who may be interested, and subscribe to the channel so you will receive notice as new videos are uploaded.
You can reach out to me directly via:
Facebook: Lewis Hassell
Twitter: @HassellLewis
or by email at lewis-hassell@ouhsc.edu
More good content available at my public, pathology-focused Facebook group: Phat Trien GPB VN

Digital Surgical Pathology 393 Vulva-  Skin adenoid cystic carcinoma

Поделиться в:

Доступные форматы для скачивания:

Скачать видео mp4

  • Информация по загрузке:

Скачать аудио mp3

Похожие видео

Microcystic Adnexal Carcinoma vs Desmoplastic Trichoepithelioma (Paisley Tie/Tadpole Pattern)

Microcystic Adnexal Carcinoma vs Desmoplastic Trichoepithelioma (Paisley Tie/Tadpole Pattern)

ОТКРЫТОЕ наставничество по гинекологической цитологии 1b, декабрь 2025 г.

ОТКРЫТОЕ наставничество по гинекологической цитологии 1b, декабрь 2025 г.

Fibroepithelial Stromal Polyp of Vagina

Fibroepithelial Stromal Polyp of Vagina

ОТКРЫТАЯ сессия наставничества Gyn Cytol 1

ОТКРЫТАЯ сессия наставничества Gyn Cytol 1

Cutaneous Adenoid Cystic Carcinoma vs Adenoid Basal Cell Carcinoma (Dermpath Dermatology Pathology)

Cutaneous Adenoid Cystic Carcinoma vs Adenoid Basal Cell Carcinoma (Dermpath Dermatology Pathology)

Выйдите из системы вместе с профессором.

Выйдите из системы вместе с профессором.

Открытая программа наставничества по гинекологической цитологической диагностике – плоскоклеточны...

Открытая программа наставничества по гинекологической цитологической диагностике – плоскоклеточны...

ОТКРЫТАЯ сессия наставничества — Derm 1

ОТКРЫТАЯ сессия наставничества — Derm 1

5 признаков рака лёгких, которые легко пропустить!

5 признаков рака лёгких, которые легко пропустить!

Предраковые заболевания | Интраэпителиальная неоплазия вульвы (VIN)

Предраковые заболевания | Интраэпителиальная неоплазия вульвы (VIN)

Adenoid Cystic Carcinoma

Adenoid Cystic Carcinoma

Dermal duct tumor vs poroma vs hidradenoma (acrospiroma

Dermal duct tumor vs poroma vs hidradenoma (acrospiroma "family" of sweat gland tumors) dermpath

Squamous Neoplasia of the Vulva: from Novice to Nuance - Dr. Hoang #GYNPATH

Squamous Neoplasia of the Vulva: from Novice to Nuance - Dr. Hoang #GYNPATH

Research Into MEC And Adenoid Cystic Carcinoma ('ACC') With Dr Vivian Petersen Wagner | SGC UK

Research Into MEC And Adenoid Cystic Carcinoma ('ACC') With Dr Vivian Petersen Wagner | SGC UK

Не делай МРТ пока не посмотришь это видео!

Не делай МРТ пока не посмотришь это видео!

Ewing Family of Tumors

Ewing Family of Tumors

Dysplasia in lichen sclerosus (differentiated vulvar intraepithelial neoplasia dVIN) pathology

Dysplasia in lichen sclerosus (differentiated vulvar intraepithelial neoplasia dVIN) pathology

Understanding Adenoid Cystic Carcinoma: The Role Of MYB With Professor Arturo Sala | SGC UK

Understanding Adenoid Cystic Carcinoma: The Role Of MYB With Professor Arturo Sala | SGC UK

The problematic colorectal polyp - Dr. Pai (Mayo) #GIPATH

The problematic colorectal polyp - Dr. Pai (Mayo) #GIPATH

© 2025 dtub. Все права защищены.



  • Контакты
  • О нас
  • Политика конфиденциальности



Контакты для правообладателей: infodtube@gmail.com