Популярное

Музыка Кино и Анимация Автомобили Животные Спорт Путешествия Игры Юмор

Интересные видео

2025 Сериалы Трейлеры Новости Как сделать Видеоуроки Diy своими руками

Топ запросов

смотреть а4 schoolboy runaway турецкий сериал смотреть мультфильмы эдисон
dTub
Скачать

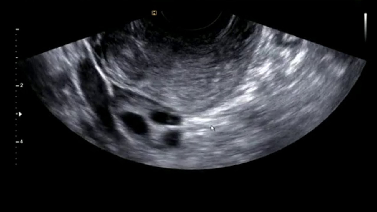
자궁 근종의 초음파 동영상

Автор: 진오비 산부인과

Загружено: 2019-04-17

Просмотров: 19130

Описание:

자궁 근종의 실제 초음파 영상입니다. 자궁 근종은 중년 부인들에게서 흔한 질병이지만 요즘 젊은 여성에서도 드물지 않게 나타나는 병입니다. 자궁 근종을 수술해야 하는 경우와 치료 방법들에 대하여는 영상의 끝부분에서 자막으로 간단히 적어 놓았습니다. 영상의 유튜브 게시에 동의하여 주신 분께 감사드립니다.

자궁 근종의 초음파 동영상

Поделиться в:

Доступные форматы для скачивания:

Скачать видео mp4

  • Информация по загрузке:

Скачать аудио mp3

Похожие видео

Расположение ультразвукового датчика матки и яичников | Установка датчика | Гинекологическое УЗИ

Расположение ультразвукового датчика матки и яичников | Установка датчика | Гинекологическое УЗИ

5 операций, которые я, как врач, НИКОГДА бы не сделал! / Вы ПОЖАЛЕЕТЕ об ЭТИХ операциях!

5 операций, которые я, как врач, НИКОГДА бы не сделал! / Вы ПОЖАЛЕЕТЕ об ЭТИХ операциях!

Никогда не ешьте грецкие орехи ТАК: Врач объяснил роковую ошибку после 50 лет

Никогда не ешьте грецкие орехи ТАК: Врач объяснил роковую ошибку после 50 лет

Ovary Ultrasound Normal Vs Abnormal Image Appearances | Ovarian Pathologies On USG

Ovary Ultrasound Normal Vs Abnormal Image Appearances | Ovarian Pathologies On USG

Transabdominal Pelvis Ultrasound Scanning Techniques

Transabdominal Pelvis Ultrasound Scanning Techniques

Follicular Monitoring of Ovary on Ultrasound | Ovulation & Fertility Tracking | Gynecological USG

Follicular Monitoring of Ovary on Ultrasound | Ovulation & Fertility Tracking | Gynecological USG

Хроническая слизь, которая не исчезает? Вот главная причина у пожилых людей (натуральное решение)

Хроническая слизь, которая не исчезает? Вот главная причина у пожилых людей (натуральное решение)

Silny mróz do końca stycznia. Mroźny luty. Bardzo zimne trendy na kolejne tygodnie.

Silny mróz do końca stycznia. Mroźny luty. Bardzo zimne trendy na kolejne tygodnie.

Ultrasound and Liver Segments

Ultrasound and Liver Segments

Hot Tips - Locating the Ovaries on Transabdominal Ultrasound

Hot Tips - Locating the Ovaries on Transabdominal Ultrasound

진오비 산부인과 라이브 방송

진오비 산부인과 라이브 방송

Сравнение нормальных и патологических изображений на УЗИ плаценты | Патологии плаценты на УЗИ

Сравнение нормальных и патологических изображений на УЗИ плаценты | Патологии плаценты на УЗИ

Cała prawda o Danii! Miśko: To co robili na Grenlandii było straszne!

Cała prawda o Danii! Miśko: To co robili na Grenlandii było straszne!

수술실 장비 1-- 보비

수술실 장비 1-- 보비

Mastering liver anatomy before the ultrasound

Mastering liver anatomy before the ultrasound

조기발견만이 살 길! '난소암'의 종류와 진단 방법 정리

조기발견만이 살 길! '난소암'의 종류와 진단 방법 정리

의외로 흔한 질환 '자궁근종'! 치료가 필요한 시기는? [청담산부인과의원]

의외로 흔한 질환 '자궁근종'! 치료가 필요한 시기는? [청담산부인과의원]

How to ultrasound the liver

How to ultrasound the liver

Расположение акушерского ультразвукового датчика | Установка датчика для беременной матки и плода...

Расположение акушерского ультразвукового датчика | Установка датчика для беременной матки и плода...

난소암의 초기 증상과 치료, 예방법은 이렇습니다ㅣ이유영 삼성서울병원 산부인과 [이러면 낫는다ㅣ난소암]

난소암의 초기 증상과 치료, 예방법은 이렇습니다ㅣ이유영 삼성서울병원 산부인과 [이러면 낫는다ㅣ난소암]

© 2025 dtub. Все права защищены.



  • Контакты
  • О нас
  • Политика конфиденциальности



Контакты для правообладателей: infodtube@gmail.com