Популярное

Музыка Кино и Анимация Автомобили Животные Спорт Путешествия Игры Юмор

Интересные видео

2025 Сериалы Трейлеры Новости Как сделать Видеоуроки Diy своими руками

Топ запросов

смотреть а4 schoolboy runaway турецкий сериал смотреть мультфильмы эдисон
dTub
Скачать

Subdural hematoma (EDNeurorad Case 3a)

Автор: ED NeuroRad

Загружено: 2026-01-04

Просмотров: 49

Описание:

#ct #medicaleducation #radiologyeducation

Link to full DICOM images: https://dicomtube.com/case/edneurorad...

Imaging findings:
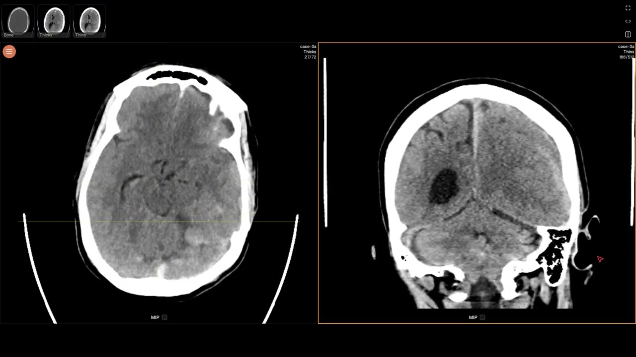
There is a predominantly hyperdense left cerebral convexity subdural hematoma. Near the vertex, there is a layering hematocrit level, typically seen in the setting of either active bleeding or coagulopathy. The hematoma results in mass effect as evidenced by effacement of the left lateral ventricle compared to the right and midline shift.

As nicely seen on the coronal reformations from the thin section data, the hematoma has components along the left tentorium and the falx. These can also be seen on the axial images.

#ct #medicaleducation #radiologyeducation #neuroradiology #foamed #foamrad #medicalstudent #neurosurgery #radiology

Subdural hematoma (EDNeurorad Case 3a)

Поделиться в:

Доступные форматы для скачивания:

Скачать видео mp4

  • Информация по загрузке:

Скачать аудио mp3

Похожие видео

Почему Тривандрум стал одним из самых популярных мест отдыха для иностранных туристов в Индии | V...

Почему Тривандрум стал одним из самых популярных мест отдыха для иностранных туристов в Индии | V...

#WRWU Image Based Discussion - Radiology

#WRWU Image Based Discussion - Radiology

Right subdural hematoma (EDNeurorad Case 3b)

Right subdural hematoma (EDNeurorad Case 3b)

Neck CT search pattern

Neck CT search pattern

Acute encephalopathy

Acute encephalopathy

Skull fracture, epidural hematoma, orbital hematoma (EDNeurorad Case 2)

Skull fracture, epidural hematoma, orbital hematoma (EDNeurorad Case 2)

MRI Brain Case: Arachnoid Cyst, Neuroglial Cyst & Subgaleal Hematoma | Radiology Made Simple

MRI Brain Case: Arachnoid Cyst, Neuroglial Cyst & Subgaleal Hematoma | Radiology Made Simple

Как читать КТ головного мозга (часть 2): Анатомия мозга на КТ

Как читать КТ головного мозга (часть 2): Анатомия мозга на КТ

Эндоскопический эндоназальный подход к удалению опухоли гипофиза

Эндоскопический эндоназальный подход к удалению опухоли гипофиза

Простой способ изучить рентгенологию в 2026 году

Простой способ изучить рентгенологию в 2026 году

Как читать МРТ позвоночника

Как читать МРТ позвоночника

Узелки в легких (основная информация для пациентов)

Узелки в легких (основная информация для пациентов)

Что издает звуки при сканировании в аппаратах МРТ?

Что издает звуки при сканировании в аппаратах МРТ?

Межлестничная блокада плечевого сплетения

Межлестничная блокада плечевого сплетения

How to read a CT PNS |  All points Explained in detail

How to read a CT PNS | All points Explained in detail

Anatomy of the Brainstem... made Easy!

Anatomy of the Brainstem... made Easy!

White matter disorders and their mimics

White matter disorders and their mimics

Открытие Варбурга: 4 переключателя, которые мешают раку расти | Здоровье с Доктором

Открытие Варбурга: 4 переключателя, которые мешают раку расти | Здоровье с Доктором

Анатомия КТ: брюшная полость

Анатомия КТ: брюшная полость

Normal Head CT Scan Anatomy Made Simple- Neuroradiology

Normal Head CT Scan Anatomy Made Simple- Neuroradiology

© 2025 dtub. Все права защищены.



  • Контакты
  • О нас
  • Политика конфиденциальности



Контакты для правообладателей: infodtube@gmail.com