Популярное

Музыка Кино и Анимация Автомобили Животные Спорт Путешествия Игры Юмор

Интересные видео

2025 Сериалы Трейлеры Новости Как сделать Видеоуроки Diy своими руками

Топ запросов

смотреть а4 schoolboy runaway турецкий сериал смотреть мультфильмы эдисон
dTub
Скачать

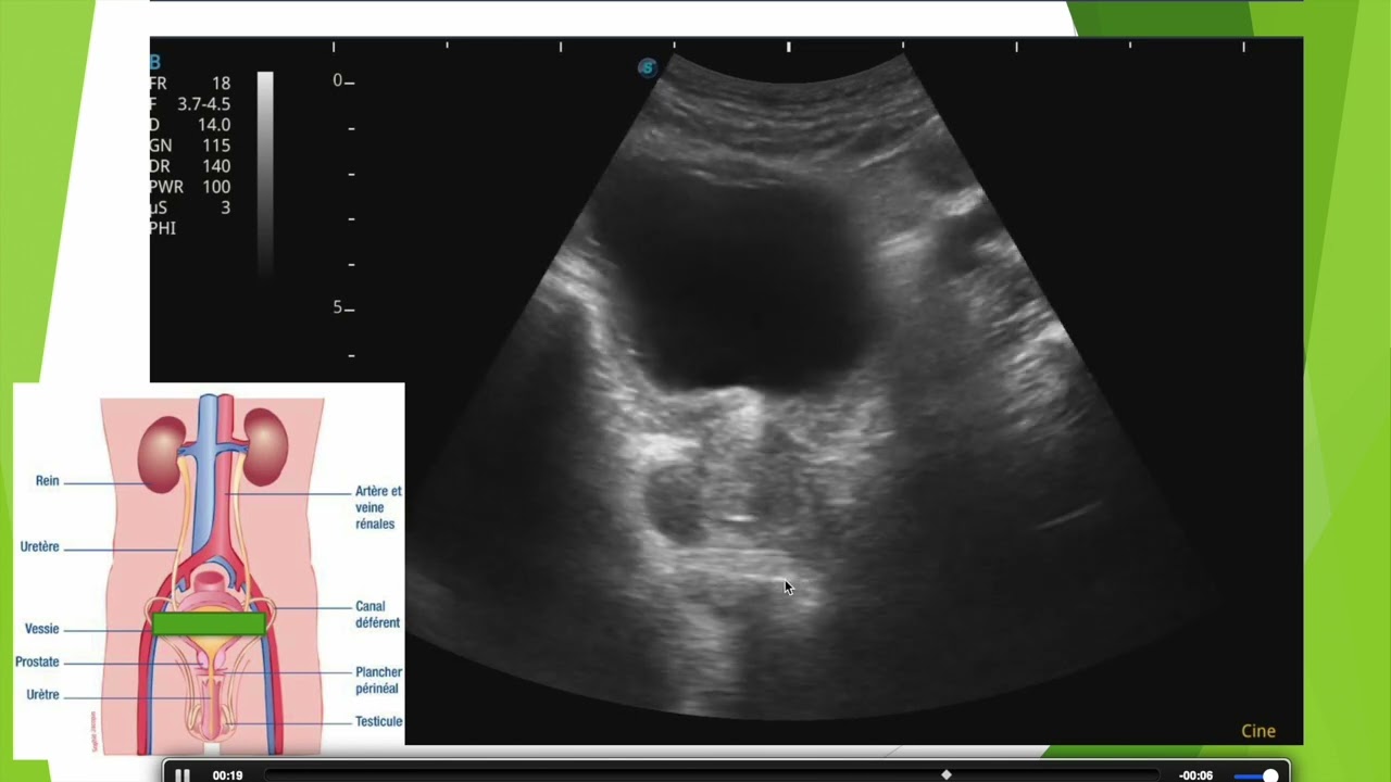
Cancer de prostate en échographie

Автор: ECHOMAP

Загружено: 2024-04-27

Просмотров: 11114

Описание:

Découverte d'un cancer de prostate métastasé en échographie. Aspect de la prostate et de la vessie en échographie suspubienne et exploration d'une tumeur inguinale gauche.

Pour profiter d'une formation d'initiation offerte c'est ici:
https://www.echomap.fr/formation-offerte

Formez vous à l'échographie urologique:
https://www.echomap.fr/urologie

Découvrez toutes les autres formations en ligne 100% dédiées à l'apprentissage de l'échographie ici:
https://www.echomap.fr/formations

Cancer de prostate en échographie

Поделиться в:

Доступные форматы для скачивания:

Скачать видео mp4

  • Информация по загрузке:

Скачать аудио mp3

Похожие видео

Artefact en echographie: le compound vous induit en erreur

Artefact en echographie: le compound vous induit en erreur

Rechercher facilement une hernie inguinale en échographie

Rechercher facilement une hernie inguinale en échographie

Epididymite et hydrocèle en échographie

Epididymite et hydrocèle en échographie

Echographie vésicale: tumeur de vessie

Echographie vésicale: tumeur de vessie

Анализ на ПСА: кому, когда и как сдавать. Что делать с результатом?

Анализ на ПСА: кому, когда и как сдавать. Что делать с результатом?

Более 90% врачей не говорят вам   это про ПРОСТАТИТ — вот что они скрывают!

Более 90% врачей не говорят вам это про ПРОСТАТИТ — вот что они скрывают!

Хронический Простатит: Вы ЛЕЧИТЕ Не ТО? 80% Мужчин Не Знают Этого. ВИНОВАТ НЕ ОН!

Хронический Простатит: Вы ЛЕЧИТЕ Не ТО? 80% Мужчин Не Знают Этого. ВИНОВАТ НЕ ОН!

Hernie inguinale en échographie: directe ou indirecte?

Hernie inguinale en échographie: directe ou indirecte?

Главные признаки онкологии и что с этим делать

Главные признаки онкологии и что с этим делать

Мой путь к раку простаты — Эпизод 4 — взгляд из Австралии — 2 недели после операции

Мой путь к раку простаты — Эпизод 4 — взгляд из Австралии — 2 недели после операции

Онкология - как исцелиться без химиотерапии и таблеток

Онкология - как исцелиться без химиотерапии и таблеток

ФОРСИГА И ДЖАРДИНС. ПОЛНЫЙ РАЗБОР, ГЛАВНЫЕ ОШИБКИ И ВОПРОСЫ (Forxiga, Jardiance - i-SGLT2)

ФОРСИГА И ДЖАРДИНС. ПОЛНЫЙ РАЗБОР, ГЛАВНЫЕ ОШИБКИ И ВОПРОСЫ (Forxiga, Jardiance - i-SGLT2)

Echographie du cholédoque: signe du double canon de fusil

Echographie du cholédoque: signe du double canon de fusil

Головокружение, Шея и сосуды тут НИ ПРИ ЧЕМ!

Головокружение, Шея и сосуды тут НИ ПРИ ЧЕМ!

РЕБРИСТЫЕ Ногти  Это НЕ Старость!

РЕБРИСТЫЕ Ногти Это НЕ Старость!

Аденома Простаты: простое ЛЕЧЕНИЕ +  Простатит и Потенция, как Лечить.

Аденома Простаты: простое ЛЕЧЕНИЕ + Простатит и Потенция, как Лечить.

Découvrez l'aspect typique d'une vessie de lutte en échographie : tout ce que vous devez savoir !

Découvrez l'aspect typique d'une vessie de lutte en échographie : tout ce que vous devez savoir !

PSA élevé : dois-je m'inquiéter ? Comprendre le dépistage et la biopsie de la prostate

PSA élevé : dois-je m'inquiéter ? Comprendre le dépistage et la biopsie de la prostate

Ужасы куркумина. Вся правда. 2025 год

Ужасы куркумина. Вся правда. 2025 год

Angiome hépatique en échographie

Angiome hépatique en échographie

© 2025 dtub. Все права защищены.



  • Контакты
  • О нас
  • Политика конфиденциальности



Контакты для правообладателей: [email protected]