Популярное

Музыка Кино и Анимация Автомобили Животные Спорт Путешествия Игры Юмор

Интересные видео

2025 Сериалы Трейлеры Новости Как сделать Видеоуроки Diy своими руками

Топ запросов

смотреть а4 schoolboy runaway турецкий сериал смотреть мультфильмы эдисон
dTub
Скачать

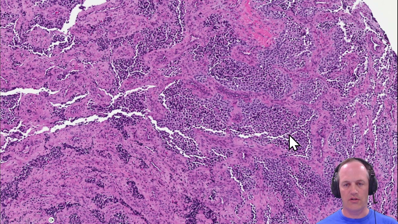
2022 07 25 Differentials for Small Round Blue Cell Tumors of the Sinonasal Tract

Автор: Lester D.R. Thompson

Загружено: 2022-08-02

Просмотров: 2203

Описание:

Small round blue cell tumors of the sinonasal tract.

2022 07 25 Differentials for Small Round Blue Cell Tumors of the Sinonasal Tract

Поделиться в:

Доступные форматы для скачивания:

Скачать видео mp4

  • Информация по загрузке:

Скачать аудио mp3

Похожие видео

#ENTPATH The NOSE ALARM: My approach to Blue Cell Tumors of the Sinonasal Tract

#ENTPATH The NOSE ALARM: My approach to Blue Cell Tumors of the Sinonasal Tract

Guide to Pediatric Small Round Blue Cell Tumors - Ewing Sarcoma

Guide to Pediatric Small Round Blue Cell Tumors - Ewing Sarcoma

Update on recently described tumors of the sinonasal tract - Dr. Montone (UPenn) #ENTPATH

Update on recently described tumors of the sinonasal tract - Dr. Montone (UPenn) #ENTPATH

2020 12 CSP Lester Thompson Head and Neck Video Tutorial

2020 12 CSP Lester Thompson Head and Neck Video Tutorial

I Skied Down Mount Everest (world first, no oxygen)

I Skied Down Mount Everest (world first, no oxygen)

На меня напали… Розыгрыш в спортзале «Анатолий» пошел не так… | Притворился уборщиком

На меня напали… Розыгрыш в спортзале «Анатолий» пошел не так… | Притворился уборщиком

Удивительная правда о том, почему люди не меняются. Нейробиология привычек и провалов

Удивительная правда о том, почему люди не меняются. Нейробиология привычек и провалов

ДНК создал Бог? Самые свежие научные данные о строении. Как работает информация для жизни организмов

ДНК создал Бог? Самые свежие научные данные о строении. Как работает информация для жизни организмов

49 минут, которые ИЗМЕНЯТ ваше понимание Вселенной | Владимир Сурдин

49 минут, которые ИЗМЕНЯТ ваше понимание Вселенной | Владимир Сурдин

Открытие Варбурга: 4 переключателя, которые мешают раку расти | Здоровье с Доктором

Открытие Варбурга: 4 переключателя, которые мешают раку расти | Здоровье с Доктором

🔴ФЕЛЬШТИНСКИЙ: Путин может воевать ВЕЧНО! Единственный ШАНС для Украины

🔴ФЕЛЬШТИНСКИЙ: Путин может воевать ВЕЧНО! Единственный ШАНС для Украины

WHO's new in sinonasal tract pathology - Dr. Thompson (SCPMG) #ENTPATH

WHO's new in sinonasal tract pathology - Dr. Thompson (SCPMG) #ENTPATH

Salivary gland: Pleomorphic adenoma Microscopy - Talking slide

Salivary gland: Pleomorphic adenoma Microscopy - Talking slide

Что патологоанатом думает о смерти?

Что патологоанатом думает о смерти?

NUT Carcinoma with Sanjay Mukhopadhyay, MD

NUT Carcinoma with Sanjay Mukhopadhyay, MD

Как очистить сосуды от бляшек и тромбов за 5 простых шагов

Как очистить сосуды от бляшек и тромбов за 5 простых шагов

Glioblastoma histopathologic diagnosis  - Adventures in Neuropathology

Glioblastoma histopathologic diagnosis - Adventures in Neuropathology

Golden Retriever Meets Completely Broken Rescue for the First Time

Golden Retriever Meets Completely Broken Rescue for the First Time

Guide to Pediatric Small Round Blue Cell Tumors - Alveolar Rhabdomyosarcoma

Guide to Pediatric Small Round Blue Cell Tumors - Alveolar Rhabdomyosarcoma

Spindle Cell Tumors of Head and Neck Region: A Diagnostic Approach

Spindle Cell Tumors of Head and Neck Region: A Diagnostic Approach

© 2025 dtub. Все права защищены.



  • Контакты
  • О нас
  • Политика конфиденциальности



Контакты для правообладателей: infodtube@gmail.com