Популярное

Музыка Кино и Анимация Автомобили Животные Спорт Путешествия Игры Юмор

Интересные видео

2025 Сериалы Трейлеры Новости Как сделать Видеоуроки Diy своими руками

Топ запросов

смотреть а4 schoolboy runaway турецкий сериал смотреть мультфильмы эдисон
dTub
Скачать

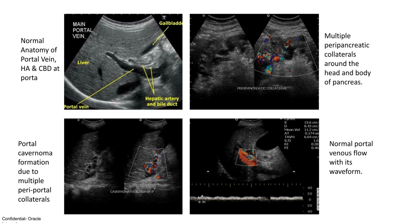
Шикха Кумари | УЗИ и цветная допплерография при портальной гипертензии

Автор: Indian Radiologist

Загружено: 2026-01-10

Просмотров: 895

Описание:

Подписывайтесь на нас в социальных сетях:
YouTube:    / indianradiologist  
Instagram: https://rzp.io/l/sSay9z9X
Facebook:   / indianradiologist  

ОБЪЯВЛЕНИЕ
КАЛЕНДАРЬ ИНДИЙСКИХ РАДИОЛОГОВ НА 2026 ГОД

25-й учебный курс по МРТ

Доктор Дипак Паткар
Даты: 24-26 апреля 2026 г.
Место проведения: NMIMS, Джуху, Мумбай
Обзор: Полный обзор МРТ-диагностики в нейрохирургии, хирургии опорно-двигательного аппарата и всего тела, лекции, панельные дискуссии. Доклады и постеры с призами для 3 лучших участников, викторина «МРТ-мания» (командная игра), мастер-классы по визуализации тела с участием экспертов из числа национальных преподавателей, баллы MMC.
Скидки за раннюю регистрацию действуют до 31 января.
Ссылка для регистрации: https://rzp.io/l/MvJV55f

SONOBUZZ 2026
Даты: 16-18 января 2026 г.
Место проведения: Мумбаи (5-звездочный отель)
Международные и национальные преподаватели соберутся вместе для полного обзора ультразвуковой диагностики и цветной допплерографии | Специализированная маммография и визуализация молочной железы, а также сессии по корреляции гинекологической и МРТ-визуализации на мероприятии этого года.
Мастер-классы | Фетальная медицина | Цветная допплерография | Ультразвуковое исследование мелких органов | Вечерние встречи Sonobuzz по субботам | Баллы MMC
Действуют льготные тарифы для ранних бронирований до 31 января
Ссылка для регистрации: https://rzp.io/rzp/GvC6Y7a

Шикха Кумари | УЗИ и цветная допплерография при портальной гипертензии

Поделиться в:

Доступные форматы для скачивания:

Скачать видео mp4

  • Информация по загрузке:

Скачать аудио mp3

Похожие видео

МАЛЫЙ ДЛЯ ГЕСТАЦИИ ПЛОД И ЗАДЕРЖКА РОСТА ПЛОДА — КАК РАЗЛИЧИТЬ | ДОКТОР АЛПАНА ДЖОШИ

МАЛЫЙ ДЛЯ ГЕСТАЦИИ ПЛОД И ЗАДЕРЖКА РОСТА ПЛОДА — КАК РАЗЛИЧИТЬ | ДОКТОР АЛПАНА ДЖОШИ

МРКП | УТКАРШ КАБРА || ПОКАЗАНИЯ И ВЫВОДЫ | КБД ИСПОЛЬЗОВАНИЕ | Калифорния ГБ | РАЗДЕЛЕННАЯ ПОДЖЕ...

МРКП | УТКАРШ КАБРА || ПОКАЗАНИЯ И ВЫВОДЫ | КБД ИСПОЛЬЗОВАНИЕ | Калифорния ГБ | РАЗДЕЛЕННАЯ ПОДЖЕ...

DR MALINI LAWANDE | Labrum & Labral Tears | #mrishoulder

DR MALINI LAWANDE | Labrum & Labral Tears | #mrishoulder

Восстановление работы ВСЕГО ОДНОЙ МЫШЦЫ - может улучшить Ваше зрение!

Восстановление работы ВСЕГО ОДНОЙ МЫШЦЫ - может улучшить Ваше зрение!

ВЫБРОСЬ БИСОПРОЛОЛ (КОНКОР) и ИНДАПАМИД? Главная ОШИБКА при лечении давления!

ВЫБРОСЬ БИСОПРОЛОЛ (КОНКОР) и ИНДАПАМИД? Главная ОШИБКА при лечении давления!

Анимация операции по замене аортального клапана, автор — доктор медицины Кэл Шипли.

Анимация операции по замене аортального клапана, автор — доктор медицины Кэл Шипли.

5 операций, которые я, как врач, НИКОГДА бы не сделал! / Вы ПОЖАЛЕЕТЕ об ЭТИХ операциях!

5 операций, которые я, как врач, НИКОГДА бы не сделал! / Вы ПОЖАЛЕЕТЕ об ЭТИХ операциях!

Нефролитиаз. Беседы с ординаторами УЗД

Нефролитиаз. Беседы с ординаторами УЗД

Случай 206: Руководство по ЧКВ — «Обычный» NSTEMI

Случай 206: Руководство по ЧКВ — «Обычный» NSTEMI

Антикоагулянты, как избежать кровотечения

Антикоагулянты, как избежать кровотечения

Правда про давление 140 на 90: кому нужны таблетки, а кому нет. 5 ошибок измерения.

Правда про давление 140 на 90: кому нужны таблетки, а кому нет. 5 ошибок измерения.

Просыпаетесь каждую ночь в 3 часа? Ошибка № 1, которая не даёт вам заснуть

Просыпаетесь каждую ночь в 3 часа? Ошибка № 1, которая не даёт вам заснуть

Ночные пробуждения в 3–4 часа: как найти причину и вернуть глубокий сон.

Ночные пробуждения в 3–4 часа: как найти причину и вернуть глубокий сон.

Никогда не ешьте грецкие орехи ТАК: Врач объяснил роковую ошибку после 50 лет

Никогда не ешьте грецкие орехи ТАК: Врач объяснил роковую ошибку после 50 лет

СЛАБОЕ СЕРДЦЕ / АРИТМИЯ. Что происходит с сердцем при аритмии? Что чувствует человек? Как лечить?

СЛАБОЕ СЕРДЦЕ / АРИТМИЯ. Что происходит с сердцем при аритмии? Что чувствует человек? Как лечить?

6 упражнений, которые ЯПОНЦЫ делают, чтобы УДВОИТЬ СИЛУ НОГ после 60 🦵🚀

6 упражнений, которые ЯПОНЦЫ делают, чтобы УДВОИТЬ СИЛУ НОГ после 60 🦵🚀

ДЖОШИТА СИНГХ | Связки локтя на МРТ

ДЖОШИТА СИНГХ | Связки локтя на МРТ

AORTIC STENOSIS (Echocardiographic assessment) - PART 2

AORTIC STENOSIS (Echocardiographic assessment) - PART 2

Правда о твороге 🥣 Что вам не говорят после 40 — врач объясняет

Правда о твороге 🥣 Что вам не говорят после 40 — врач объясняет

Инсульт начинается утром: роковая ошибка миллионов после 60.

Инсульт начинается утром: роковая ошибка миллионов после 60.

© 2025 dtub. Все права защищены.



  • Контакты
  • О нас
  • Политика конфиденциальности



Контакты для правообладателей: infodtube@gmail.com