Популярное

Музыка Кино и Анимация Автомобили Животные Спорт Путешествия Игры Юмор

Интересные видео

2025 Сериалы Трейлеры Новости Как сделать Видеоуроки Diy своими руками

Топ запросов

смотреть а4 schoolboy runaway турецкий сериал смотреть мультфильмы эдисон
dTub
Скачать

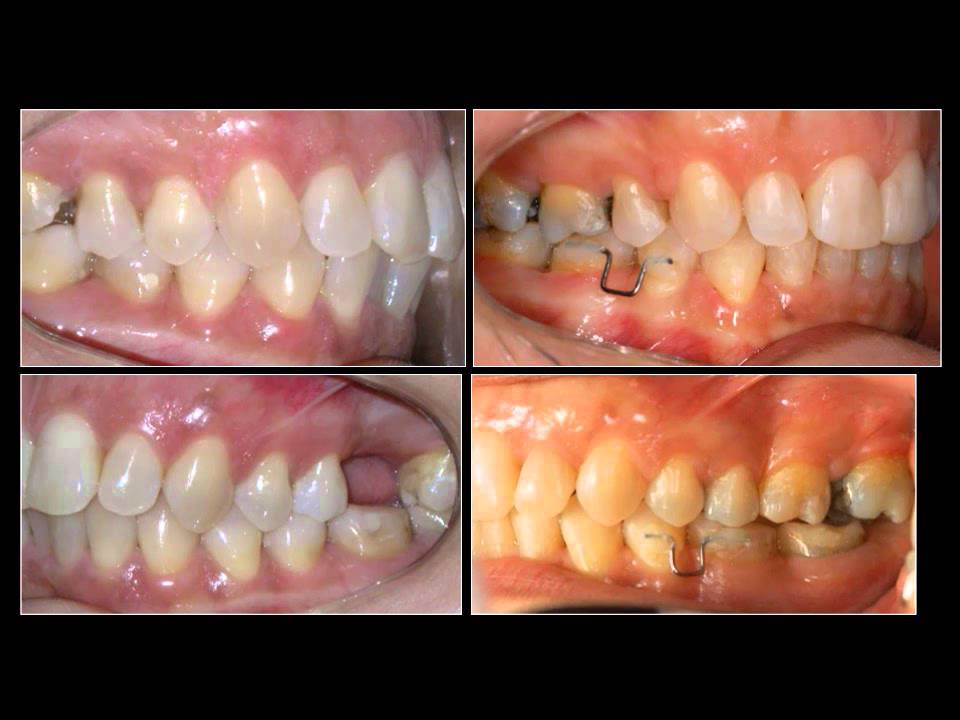
CONTENÇÕES EM ORTODONTIA

Автор: MJanson Ortodontia

Загружено: 2014-02-20

Просмотров: 23598

Описание:

Aparelhos de contenção utilizados ao final do tratamento ortodôntico

CONTENÇÕES EM ORTODONTIA

Поделиться в:

Доступные форматы для скачивания:

Скачать видео mp4

  • Информация по загрузке:

Скачать аудио mp3

Похожие видео

Torques individuais

Torques individuais

ORTOCERVERA / Ortodoncia: Enderezamiento de molares - Brackets Autoligado Camaleón

ORTOCERVERA / Ortodoncia: Enderezamiento de molares - Brackets Autoligado Camaleón

KHÔNG GIAN NHA KHOA ORION | TRẢI NGHIỆM ĐIỀU TRỊ HIỆN ĐẠI TẠI VINHOMES GRAND PARK

KHÔNG GIAN NHA KHOA ORION | TRẢI NGHIỆM ĐIỀU TRỊ HIỆN ĐẠI TẠI VINHOMES GRAND PARK

Verticalização de molares: simplicidade, eficiência e rapidez.

Verticalização de molares: simplicidade, eficiência e rapidez.

Ortodontia Prática, in-set e off-set

Ortodontia Prática, in-set e off-set

ВСЕ ОБ ОРТОДОНТИЧЕСКИХ ПОВЯЗКАХ

ВСЕ ОБ ОРТОДОНТИЧЕСКИХ ПОВЯЗКАХ

PLANEJAMENTO

PLANEJAMENTO

ORTOCERVERA / Ortodoncia: Asas en U - Compensación Oclusal - Módulos y Elásticos

ORTOCERVERA / Ortodoncia: Asas en U - Compensación Oclusal - Módulos y Elásticos

Никогда не ешьте грецкие орехи ТАК: Врач объяснил роковую ошибку после 50 лет

Никогда не ешьте грецкие орехи ТАК: Врач объяснил роковую ошибку после 50 лет

5 операций, которые я, как врач, НИКОГДА бы не сделал! / Вы ПОЖАЛЕЕТЕ об ЭТИХ операциях!

5 операций, которые я, как врач, НИКОГДА бы не сделал! / Вы ПОЖАЛЕЕТЕ об ЭТИХ операциях!

Dobras de Intrusão e Extrusão - Prof  Marden Bastos

Dobras de Intrusão e Extrusão - Prof Marden Bastos

APM

APM

Cantilever de Verticalização de Molar

Cantilever de Verticalização de Molar

BIOMECÁNICA CON MINI IMPLANTES # 5 MESIALIZACIÓN MOLAR 1

BIOMECÁNICA CON MINI IMPLANTES # 5 MESIALIZACIÓN MOLAR 1

Arco Base de Ricketts

Arco Base de Ricketts

Demonstração Prof. Guilherme Janson - TTo Ortodôntico de Casos Assimétricos

Demonstração Prof. Guilherme Janson - TTo Ortodôntico de Casos Assimétricos

Distalizador Molar Frog

Distalizador Molar Frog

Mola TMA para Intrusão e Verticalização de Molares

Mola TMA para Intrusão e Verticalização de Molares

ARCO VESTIBULAR ACESSÓRIO (para expansão dentoalveolar)

ARCO VESTIBULAR ACESSÓRIO (para expansão dentoalveolar)

Curva reversa em fio de Nitinol

Curva reversa em fio de Nitinol

© 2025 dtub. Все права защищены.



  • Контакты
  • О нас
  • Политика конфиденциальности



Контакты для правообладателей: infodtube@gmail.com