Популярное

Музыка Кино и Анимация Автомобили Животные Спорт Путешествия Игры Юмор

Интересные видео

2025 Сериалы Трейлеры Новости Как сделать Видеоуроки Diy своими руками

Топ запросов

смотреть а4 schoolboy runaway турецкий сериал смотреть мультфильмы эдисон
dTub
Скачать

Torques individuais

Автор: MJanson Ortodontia

Загружено: 2014-07-14

Просмотров: 64499

Описание:

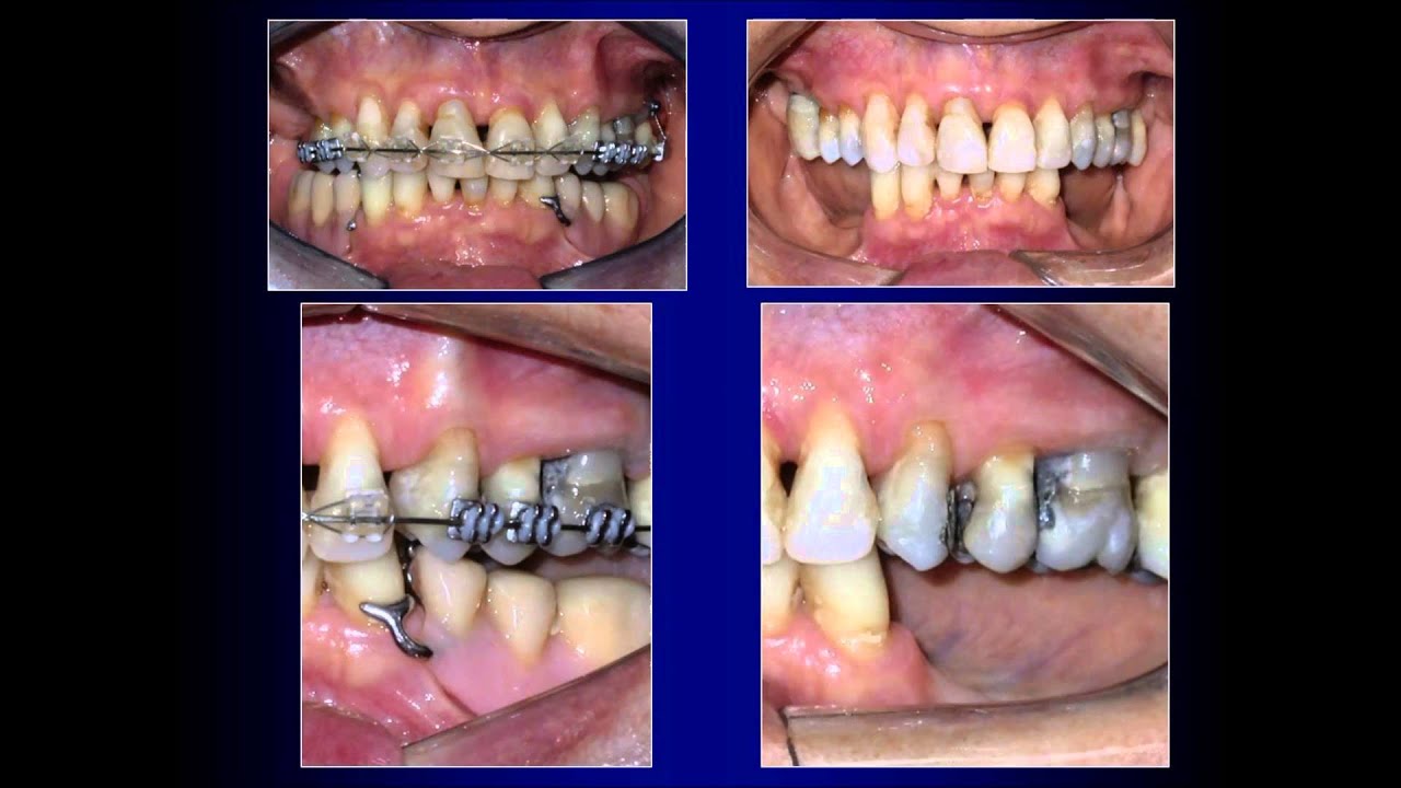
Nesse video o Dr. Marcos Janson discorre sobre as indicações, necessidades e manipulação de torques dentários individuais em Ortodontia

Torques individuais

Поделиться в:

Доступные форматы для скачивания:

Скачать видео mp4

  • Информация по загрузке:

Скачать аудио mp3

Похожие видео

Mola de Verticalização

Mola de Verticalização

Movimentos Verticais em Ortodontia I

Movimentos Verticais em Ortodontia I

Torque individual com alicate macho-fêmea

Torque individual com alicate macho-fêmea

Torque variable

Torque variable

CC355. Clinical Errors by Dr. Liu

CC355. Clinical Errors by Dr. Liu

ORTOCERVERA / Ortodoncia: Enderezamiento de molares - Brackets Autoligado Camaleón

ORTOCERVERA / Ortodoncia: Enderezamiento de molares - Brackets Autoligado Camaleón

CONTENÇÕES EM ORTODONTIA

CONTENÇÕES EM ORTODONTIA

😱СТИХИЯ БЕЗ ЖАЛОСТИ мстит Путину за Украину! Камчатка УШЛА ПОД СНЕГ, люди ЗАМЕРЗАЮТ. Есть ПОГИБШИЕ

😱СТИХИЯ БЕЗ ЖАЛОСТИ мстит Путину за Украину! Камчатка УШЛА ПОД СНЕГ, люди ЗАМЕРЗАЮТ. Есть ПОГИБШИЕ

Curva reversa em fio de Nitinol

Curva reversa em fio de Nitinol

Cantilever de Verticalização de Molar

Cantilever de Verticalização de Molar

ORTOCERVERA / Ortodoncia: Arcos Seccionales Beta-Titanio

ORTOCERVERA / Ortodoncia: Arcos Seccionales Beta-Titanio

Verticalização de molares: simplicidade, eficiência e rapidez.

Verticalização de molares: simplicidade, eficiência e rapidez.

Torques em Ortodontia - Dr. Pedro Andrade Jr

Torques em Ortodontia - Dr. Pedro Andrade Jr

ARCO VESTIBULAR ACESSÓRIO (para expansão dentoalveolar)

ARCO VESTIBULAR ACESSÓRIO (para expansão dentoalveolar)

PLANEJAMENTO

PLANEJAMENTO

послушайте эту музыку и вам станет легче🌿Нежная музыка,успокаивает нервную #84

послушайте эту музыку и вам станет легче🌿Нежная музыка,успокаивает нервную #84

APM

APM

Torque Anterior - Prof. Marden Bastos

Torque Anterior - Prof. Marden Bastos

ЗАЧЕМ ТРАМПУ ГРЕНЛАНДИЯ? / Уроки истории @MINAEVLIVE

ЗАЧЕМ ТРАМПУ ГРЕНЛАНДИЯ? / Уроки истории @MINAEVLIVE

Mola TMA para Intrusão e Verticalização de Molares

Mola TMA para Intrusão e Verticalização de Molares

© 2025 dtub. Все права защищены.



  • Контакты
  • О нас
  • Политика конфиденциальности



Контакты для правообладателей: infodtube@gmail.com