Популярное

Музыка Кино и Анимация Автомобили Животные Спорт Путешествия Игры Юмор

Интересные видео

2025 Сериалы Трейлеры Новости Как сделать Видеоуроки Diy своими руками

Топ запросов

смотреть а4 schoolboy runaway турецкий сериал смотреть мультфильмы эдисон
dTub
Скачать

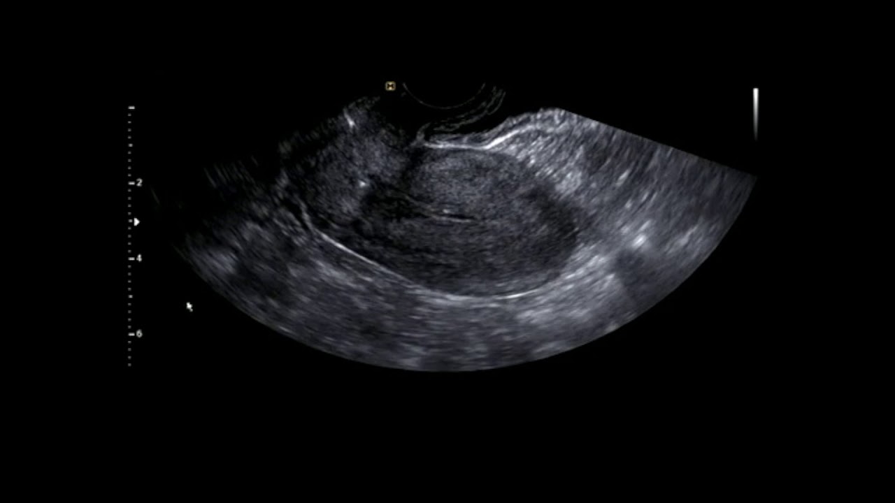
정상 자궁과 난소의 초음파 동영상

Автор: 진오비 산부인과

Загружено: 2019-04-11

Просмотров: 43347

Описание:

안녕하세요. 마포구 동교동에 개원하고 있는 진오비 산부인과 원장 심상덕입니다. 출산 후 6주 산후 진찰시의 초음파 동영상입니다. 임신으로부터 거의 회복된 정상 자궁과 정산 난소의 모습입니다. 영상에 제 목소리가 들어가 있어서 따로 설명 자막을 달지는 않았습니다. 영상은 환자분께 동의를 받고 올렸습니다.

정상 자궁과 난소의 초음파 동영상

Поделиться в:

Доступные форматы для скачивания:

Скачать видео mp4

  • Информация по загрузке:

Скачать аудио mp3

Похожие видео

Последовательность трансвагинального сканирования женского таза POCUS

Последовательность трансвагинального сканирования женского таза POCUS

난소 종양의 초음파 동영상

난소 종양의 초음파 동영상

Как БЫСТРО убрать БОЛЬ в БЕДРЕ, болит бедро, нога сбоку -  как лечить без лекарств. Триггерные точки

Как БЫСТРО убрать БОЛЬ в БЕДРЕ, болит бедро, нога сбоку - как лечить без лекарств. Триггерные точки

Образовательный контент: от оплодотворения до родов | 3D-медицинская анимация | от Dandelion Team

Образовательный контент: от оплодотворения до родов | 3D-медицинская анимация | от Dandelion Team

Отказ от территорий? / Войска оставили позиции

Отказ от территорий? / Войска оставили позиции

함께 보는 산부인과 질초음파 검사 현장

함께 보는 산부인과 질초음파 검사 현장

Расположение ультразвукового датчика матки и яичников | Установка датчика | Гинекологическое УЗИ

Расположение ультразвукового датчика матки и яичников | Установка датчика | Гинекологическое УЗИ

Basic Applications : Female Pelvis - Scanning Techniques

Basic Applications : Female Pelvis - Scanning Techniques

Fertilization

Fertilization

Uterus Ultrasound Normal Vs Abnormal Image Appearances Comparison | Uterine Pathologies USG

Uterus Ultrasound Normal Vs Abnormal Image Appearances Comparison | Uterine Pathologies USG

АНАЛИЗЫ, которые ДОРОГО стоят, а ЭФФЕКТА от них НОЛЬ! / Как правильно следить за здоровьем?

АНАЛИЗЫ, которые ДОРОГО стоят, а ЭФФЕКТА от них НОЛЬ! / Как правильно следить за здоровьем?

Основы КТГ

Основы КТГ

Что нужно знать про 1 триместр беременности? Что нельзя делать и токсикоз во время беременности.

Что нужно знать про 1 триместр беременности? Что нельзя делать и токсикоз во время беременности.

Григорий Явлинский, Алексей Венедиктов* и Сергей Бунтман / Персонально Ваш // 17.01.26

Григорий Явлинский, Алексей Венедиктов* и Сергей Бунтман / Персонально Ваш // 17.01.26

Понимание стомы (колостома, илеостома, уростома и гастростома)

Понимание стомы (колостома, илеостома, уростома и гастростома)

Успокаивающая музыка для нервов 🌿 лечебная музыка для сердца и сосудов, релакс, музыка для души #289

Успокаивающая музыка для нервов 🌿 лечебная музыка для сердца и сосудов, релакс, музыка для души #289

자궁 근종의 초음파 동영상

자궁 근종의 초음파 동영상

Hot Tips - Locating the Ovaries on Transabdominal Ultrasound

Hot Tips - Locating the Ovaries on Transabdominal Ultrasound

Part 1. 나는 30세인데 난소나이 50세? 난소 기능저하 인가요? AMH가 어떤 의미인지 알려주세요.

Part 1. 나는 30세인데 난소나이 50세? 난소 기능저하 인가요? AMH가 어떤 의미인지 알려주세요.

Учебное пособие по УЗИ: Аппендицит | Radiology Nation

Учебное пособие по УЗИ: Аппендицит | Radiology Nation

© 2025 dtub. Все права защищены.



  • Контакты
  • О нас
  • Политика конфиденциальности



Контакты для правообладателей: infodtube@gmail.com